X-rays
Identifikuje lidskou anatomii v radiologii prostřednictvím tohoto atlasu.
Informace O Aplikaci
Advertisement
Popis Aplikace
Analýza A Revize Aplikací Pro Android: X-rays, Vyvinuté Společností st2000. Uvedeno V Kategorii Lékařství. Aktuální Verze Je 1.0, Aktualizována Na 16/12/2013 . Podle Recenzí Uživatelů Na Google Play: X-rays. Dosaženo Více Než 27 Tisíc Instalací. X-rays Má V Současné Době Recenze 135, Průměrné Hodnocení 2.9 Hvězd
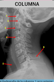
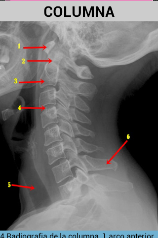
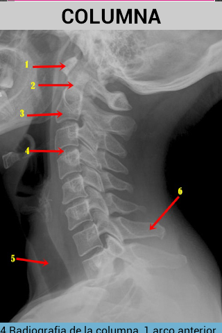
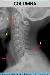
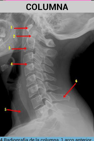
Tato aplikace se naučí snadno identifikovat anatomické struktury, které lze vidět v radiologii.obsahuje obrázky prostých rentgenových snímků, MRI a CT skenů.
Také s každým obrázkem je vysvětlení, které lépe porozumí.
obsahuje obrázky hlavy, páteře a hrudníku.
V Současné Době Nabízíme Verzi 1.0. Toto Je Naše Nejnovější, Nejvíce Optimalizovaná Verze. Je Vhodný Pro Mnoho Různých Zařízení. Zdarma Ke Stažení Přímo Apk Z Obchodu Google Play Nebo Jiných Verzí, Které Hostujeme. Kromě Toho Si Můžete Stáhnout Bez Registrace A Bez Nutnosti Přihlášení.
Máme Více Než 2000+ K Dispozici Zařízení Pro Samsung, Xiaomi, Huawei, Oppo, Vivo, Motorola, LG, Google, OnePlus, Sony, Tablet ... S Tolika Možnostmi, Je Pro Vás Snadné Vybrat Si Hry Nebo Software, Který Odpovídá Vašemu Zařízení.
Může Se Hodit, Pokud Existují Nějaká Omezení Země Nebo Omezení Ze Strany Zařízení V Obchodě Google App Store.
